News
IDiBE hosts a visit from IES Sixto Marco as part of its science outreach programme
francisco.martinezhOn January 14, 2026, the Institute for Research, Development and Innovation in Health Biotechnology of Elche (IDiBE-UMH) welcomed students from IES Sixto Marco, who had the opportunity to visit the...
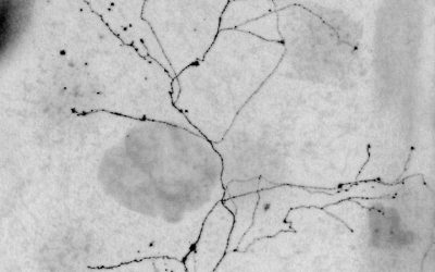
IDiBE receives European funding to advance a human innervated skin model
francisco.martinezhOur center has been awarded funding for the TRAVIATA project, a strategic initiative aimed at improving the clinical translation of preclinical research results through the use of advanced human...
Nostraciencia highlights IDiBE–UMH research on sustainable antivirals for aquaculture
francisco.martinezhThe science communication team Nostraciència has recently interviewed María del Mar Ortega-Villaizán Romo, researcher at the Institute for Research, Development and Innovation in Health...
Artificial Intelligence, Sustainable Materials, and the Future of Fashion: IDiBE Drives the POSEIA Workshops
francisco.martinezhThe Nanobiomaterials Design and Validation Group of the Institute for Research, Development and Innovation in Health Biotechnology of Elche (IDiBE–UMH) is hosting this week the workshop series...
The IDIBE of UMH holds its Ordinary Council meeting and Christmas lunch 🎄📚
anabel.garciaLast Friday, IDiBE held its Ordinary Council meeting, a key occasion to review the year 📊, share ideas 💬, and define the institute’s next steps 🚀. During the meeting, Council members reviewed the...
IDiBE brings science closer to the classroom through a visit focused on cell culture 🧫🔬
anabel.garciaOn December 16, 2025, IDiBE opened the doors of its laboratories to welcome students from the Specialization Course in Cell Culture, part of the Higher Vocational Training programme at IES Leonardo...
🎄 Merry Christmas from IDiBE ✨
anabel.garciaAt this special time of year, we want to thank you for being part of the IDiBE community 🤝.Thanks to your commitment, talent, and collaboration, science continues to transform into innovation with...
Dr. Paloma Alonso-Magdalena Authors Article on Endocrine Disruptors in Nature Reviews Endocrinology
anabel.garciaDr. Paloma Alonso-Magdalena Contributes to a Featured Article in Nature Reviews Endocrinology on Endocrine Disruptors We are pleased to announce that Dr. Paloma Alonso-Magdalena has been invited by...
IDIBE Researchers Awarded for Their Teaching Talent
anabel.garciaDecember 11th was a special day for IDIBE. During the celebration of the Teaching Talent Awards, six of its researchers were recognized for their commitment, creativity, and dedication to university...
🐟 Successful II Workshop “Immunology, Nutrition and Welfare in Aquaculture” at IDiBE
anabel.garciaOn 27 November, the IDiBE-UMH became a meeting point for aquaculture research with the celebration of the II Workshop “Immunology, Nutrition and Welfare in Aquaculture”, an event organised by our...
🧪 Young Researchers Symposium 2025 at IDiBE
anabel.garciaEmerging scientific talent gathers on December 18 at UMH On Tuesday, December 18, the Institute of Research, Development and Innovation in Health Biotechnology of Elche (IDiBE-UMH) will host the...
Health Research Ceremony 2025 – Video Highlights
anabel.garciaOn November 20th, our Peripheral Neuropathies team at IDiBE, led by Prof. Antonio Ferrer Montiel, participated in the #HealthResearch Ceremony 2025 held at CosmoCaixa Barcelona, where we received...











